Mccune Albright Syndrome Radiology
Mccune albright syndrome radiology. Osteosclerosis is a disorder that is characterized by abnormal hardening of bone and an elevation in bone density. The member displays clinical features or is at direct risk of inheriting the mutation in question pre-symptomatic. It can manifest in localized or generalized osteosclerosis.
And The result of the test will directly impact the treatment being delivered to the member. Aetna considers genetic testing medically necessary to establish a molecular diagnosis of an inheritable disease when all of the following are met. Fibrous dysplasiaMcCune-Albright syndrome FDMAS.
Enchondromas have a characteristic appearance on Magnetic Resonance Imaging MRI as well. Oral Surgery Oral Medicine Oral Pathology Oral Radiology is required for all clinicians involved in the diagnosis and treatment of oral and maxillofacial disease. GeneReviews an international point-of-care resource for busy clinicians provides clinically relevant and medically actionable information for inherited conditions in a standardized journal-style format covering diagnosis management and genetic counseling for patients and their families.
They have also been reported to cause increased uptake on PET examination. Can be associated with McCune-Albright syndrome endocrine abnormalities café au lait spots or Mazabraud syndrome soft tissue myxomas Transformation into sarcoma is extremely rare but has been reported typically decades after initial diagnosis J Formos Med Assoc 2004103711. This results from either increased proliferation or decreased apoptosis or both of developing neurons.
It is the only major dental journal that. Each chapter in GeneReviews is written by one or more experts on the specific condition or disease. OMIM174800 is a rare disorder characterized by skeletal lesions skin hyperpigmentation and hyper-functioning endocrinopathies 1 2It arises from post-zygotic gain-of-function mutations in the GNAS gene which encodes the α-subunit of the G s signalling protein These mutations disrupt the intrinsic GTPase.
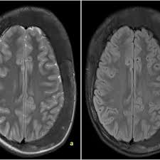
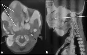
An enchondroma is a benign cartilage tumour found inside bones. Hemimegalencephaly is a rare congenital disorder of cortical formation with hamartomatous overgrowth of all or part of a cerebral hemisphere. Albright hereditary osteodystrophy pseudohypoparathyroidism a disorder involving the inability to respond to parathyroid hormone affecting bone growth and height Fibrous dysplasiaMcCune Albright syndrome a disorder that affects bones skin pigment and the endocrine system.
Oral Surgery Oral Medicine Oral Pathology and Oral Radiology Vol. Localized osteosclerosis can be caused by Legg.
The member displays clinical features or is at direct risk of inheriting the mutation in question pre-symptomatic.
Typically enchondroma is discovered on an X-ray scan. Oral Surgery Oral Medicine Oral Pathology and Oral Radiology Vol. It may predominantly affect the medullary portion andor cortex of bone. Each chapter in GeneReviews is written by one or more experts on the specific condition or disease. And The result of the test will directly impact the treatment being delivered to the member. OMIM174800 is a rare disorder characterized by skeletal lesions skin hyperpigmentation and hyper-functioning endocrinopathies 1 2It arises from post-zygotic gain-of-function mutations in the GNAS gene which encodes the α-subunit of the G s signalling protein These mutations disrupt the intrinsic GTPase. Cafè-au-lait skin pigmentations and endocrine dysfunction such as precocious puberty diabetes mellitus goiter and breast fibroadenomatosis 7 Radiographic features Typically seen as a well-circumscribed intramuscular mass. Oral Surgery Oral Medicine Oral Pathology Oral Radiology is required for all clinicians involved in the diagnosis and treatment of oral and maxillofacial disease. It is the only major dental journal that.
Osteosclerosis is a disorder that is characterized by abnormal hardening of bone and an elevation in bone density. Can be associated with McCune-Albright syndrome endocrine abnormalities café au lait spots or Mazabraud syndrome soft tissue myxomas Transformation into sarcoma is extremely rare but has been reported typically decades after initial diagnosis J Formos Med Assoc 2004103711. GeneReviews an international point-of-care resource for busy clinicians provides clinically relevant and medically actionable information for inherited conditions in a standardized journal-style format covering diagnosis management and genetic counseling for patients and their families. Localized osteosclerosis can be caused by Legg. It is the only major dental journal that. It may predominantly affect the medullary portion andor cortex of bone. It can manifest in localized or generalized osteosclerosis.
 
 										 				 
 										 				 
 										 				 
 										 				 
 										 				 
 										 				 
 										 				 
 										 				 
 										 				 
 										 				 
 										 				 
 										 				 
 										 				 
 										 				 
 										 				 
 										 				 
 										 				 
 										 				 
 										 				 
 										 				 
 										 				 
 										 				 
 										 				 
 										 				 
 										 				 
 										 				 
 										 				 
 										 				 
 										 				 
 										 				 
 										 				 
 										 				 
 										 				 
 										 				 
 										 				 
 										 				 
 										 				 
 										 				 
 										 				 
 										 				 
 										 				
Posting Komentar untuk "Mccune Albright Syndrome Radiology"