Lompat ke konten Lompat ke sidebar Lompat ke footer

Is Binswanger Disease Hereditary

Binswanger Disease In A 67 Year Old Man With Dementia A B Axial Ct Download Scientific Diagram

Binswanger Disease In A 67 Year Old Man With Dementia A B Axial Ct Download Scientific Diagram

Is binswanger disease hereditary. Binswanger disease is not a hereditary disease. Is Binswangers disease Is Hereditary. Binswanger disease is a sporadic disorder with no currently known hereditary predispositions.

A genetically transmitted form of the disease is known as familial arteriopathic leukoencephalopathy or CADASIL cerebral autosomal dominant arteriopathy with. Polycystic kidney disease is when the kidneys see cysts forming on them. Although Binswangers disease is not considered an inherited condition genetics may play a role in many of the conditions and risk factors that are associated with the.

Nonetheless genetics may play a role in some of the risk factors and conditions that relate to the illness like blood clots and atherosclerosis. Plant Pathology a corresponding condition in plants. This is one of the rarer hereditary diseases but that doesnt make it unimportant.

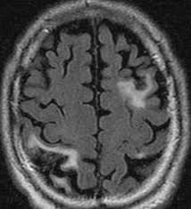
It is also called subcortical vascular dementia which damages the deep layers of the brains white matter. Illness or sickness in general. Mathers and colleagues 27 reviewed their experience with 20 cases showing white matter changes on CT scan which suggested a diagnosis of Binswangers disease.

Rare hereditary diseases such as CADASIL cerebral autosomal dominant arteriopathy with subcortical infarcts and leukoencephalopathy also cause Binswanger disease. Polycystic Kidney Disease. Thus Binswanger disease is actually a clinical syndrome of vascular dementia with multiple causes not a specific disease.

What do we know about Binswangers disease. CADASIL cerebral autosomal dominant arteriopathy with subcortical infarcts and leukoencephalopathy is a hereditary small artery disease which is phenotypically similar to Binswangers disease BD a nonhereditary form of small artery disease. They concluded that Binswangers disease is probably due to chronic or acute-on-chronic white matter ischemia.

Binswangers disease is not a specific disease. Pathology any impairment of normal physiological function affecting all or part of an organism esp a specific pathological change caused by infection stress etc producing characteristic symptoms.

Binswanger S Disease Disease Malacards Research Articles Drugs Genes Clinical Trials

Binswanger S Disease Disease Malacards Research Articles Drugs Genes Clinical Trials

Subcortical Arteriosclerotic Encephalopathy Radiology Reference Article Radiopaedia Org

Subcortical Arteriosclerotic Encephalopathy Radiology Reference Article Radiopaedia Org

Subcortical Arteriosclerotic Encephalopathy Radiology Reference Article Radiopaedia Org

Subcortical Arteriosclerotic Encephalopathy Radiology Reference Article Radiopaedia Org

Binswanger S Disease Causes Symptoms Treatment Prognosis

Binswanger S Disease Causes Symptoms Treatment Prognosis

Binswanger S Disease Symptoms Treatment And Prognosis

Binswanger S Disease Symptoms Treatment And Prognosis

Binswanger S

Binswanger S

Binswanger Encephalopathy An Overview Sciencedirect Topics

Binswanger Encephalopathy An Overview Sciencedirect Topics

Pdf Binswanger S Disease And Quantitative Fractional Anisotropy

Pdf Binswanger S Disease And Quantitative Fractional Anisotropy

Binswanger S Disease Case Presentation And Differential Diagnosis Văcăraș 2020 Clinical Case Reports Wiley Online Library

Binswanger S Disease Case Presentation And Differential Diagnosis Văcăraș 2020 Clinical Case Reports Wiley Online Library

Binswanger S Disease Wikipedia

Binswanger S Disease Wikipedia

Dementia Subcortical Disease Malacards Research Articles Drugs Genes Clinical Trials

Dementia Subcortical Disease Malacards Research Articles Drugs Genes Clinical Trials

Is Binswanger Disease Hereditary

Is Binswanger Disease Hereditary

Subcortical Arteriosclerotic Encephalopathy Radiology Reference Article Radiopaedia Org

Subcortical Arteriosclerotic Encephalopathy Radiology Reference Article Radiopaedia Org

Binswanger Encephalopathy An Overview Sciencedirect Topics

Binswanger Encephalopathy An Overview Sciencedirect Topics

Is Binswanger Disease Hereditary

Is Binswanger Disease Hereditary

Binswanger S Disease Bd Healthinfi

Binswanger S Disease Bd Healthinfi

References In Subcortical Ischaemic Vascular Dementia The Lancet Neurology

References In Subcortical Ischaemic Vascular Dementia The Lancet Neurology

Figure 2 From 197 Binswanger S Disease Semantic Scholar

Figure 2 From 197 Binswanger S Disease Semantic Scholar

Binswanger S Disease An Overview Sciencedirect Topics

Binswanger S Disease An Overview Sciencedirect Topics

Daniel Vela Duarte Md Twitterren What Else Can Look Like Cadasil Differential Diagnosis Binswanger S Disease Multiple Sclerosis Cerebral Amyloid Angiopathy Vasculitis Adrenoleukodystrophy Melas Carasil

Daniel Vela Duarte Md Twitterren What Else Can Look Like Cadasil Differential Diagnosis Binswanger S Disease Multiple Sclerosis Cerebral Amyloid Angiopathy Vasculitis Adrenoleukodystrophy Melas Carasil

Homo Sapiens Diseases Nervous System Skeletal Muscles Smooth Muscles And Sense Organs

Homo Sapiens Diseases Nervous System Skeletal Muscles Smooth Muscles And Sense Organs

Cerebral Small Vessel Disease Radiology Reference Article Radiopaedia Org

Cerebral Small Vessel Disease Radiology Reference Article Radiopaedia Org

Binswanger S

Binswanger S

Https Encrypted Tbn0 Gstatic Com Images Q Tbn And9gcsiczwv8h5nwrz9zoyok Gdn376nvqkxswdsfnju9 Er Di8wlh Usqp Cau

Https Encrypted Tbn0 Gstatic Com Images Q Tbn And9gcsiczwv8h5nwrz9zoyok Gdn376nvqkxswdsfnju9 Er Di8wlh Usqp Cau

Vascular Multi Infarct Dementia Picture Image On Medicinenet Com

Vascular Multi Infarct Dementia Picture Image On Medicinenet Com

Update On Vascular Cognitive Impairment Associated With Subcortical Small Vessel Disease Ios Press

Update On Vascular Cognitive Impairment Associated With Subcortical Small Vessel Disease Ios Press

Vascular Dementia Radiology Reference Article Radiopaedia Org

Vascular Dementia Radiology Reference Article Radiopaedia Org

Figure 2 From 197 Binswanger S Disease Semantic Scholar

Figure 2 From 197 Binswanger S Disease Semantic Scholar

Pdf Subcortical Arteriosclerotic Encephalopathy Binswanger S Disease

Pdf Subcortical Arteriosclerotic Encephalopathy Binswanger S Disease

Rare And Unusual Dementias Advances In Psychiatric Treatment Cambridge Core

Rare And Unusual Dementias Advances In Psychiatric Treatment Cambridge Core

Hereditary Diffuse Leukoencephalopathy With Axonal Spheroids Caused By R782h Mutation In Csf1r Case Report Journal Of The Neurological Sciences

Hereditary Diffuse Leukoencephalopathy With Axonal Spheroids Caused By R782h Mutation In Csf1r Case Report Journal Of The Neurological Sciences

Binswanger S Disease Case Presentation And Differential Diagnosis Văcăraș 2020 Clinical Case Reports Wiley Online Library

Binswanger S Disease Case Presentation And Differential Diagnosis Văcăraș 2020 Clinical Case Reports Wiley Online Library

Multimodal Markers Of Inflammation In The Subcortical Ischemic Vascular Disease Type Of Vascular Cognitive Impairment Stroke

Multimodal Markers Of Inflammation In The Subcortical Ischemic Vascular Disease Type Of Vascular Cognitive Impairment Stroke

Cerebral Small Vessel Disease A Review Focusing On Pathophysiology Biomarkers And Machine Learning Strategies Abstract Europe Pmc

Cerebral Small Vessel Disease A Review Focusing On Pathophysiology Biomarkers And Machine Learning Strategies Abstract Europe Pmc

Binswanger S Disease In The Absence Of Chronic Arterial Hypertension Semantic Scholar

Binswanger S Disease In The Absence Of Chronic Arterial Hypertension Semantic Scholar

Update On Vascular Dementia Semantic Scholar

Update On Vascular Dementia Semantic Scholar

Https Jnnp Bmj Com Content Jnnp 76 Suppl 5 V35 Full Pdf

Https Jnnp Bmj Com Content Jnnp 76 Suppl 5 V35 Full Pdf

2

2

References In Subcortical Ischaemic Vascular Dementia The Lancet Neurology

References In Subcortical Ischaemic Vascular Dementia The Lancet Neurology

Pdf Binswanger S Disease Ramoju Kishore Kumar Academia Edu

Pdf Binswanger S Disease Ramoju Kishore Kumar Academia Edu

Pdf Hereditary Multi Infarct Dementia Of The Swedish Type Is A Novel Disorder Different From Notch3 Causing Cadasil

Pdf Hereditary Multi Infarct Dementia Of The Swedish Type Is A Novel Disorder Different From Notch3 Causing Cadasil

Binswanger Disease Causes Symptoms Treatment Dr Thind

Binswanger Disease Causes Symptoms Treatment Dr Thind

Generalized Chorea Associated With Subcortical Leukoaraiosis Of Binswanger Type A Case Report Neurodegenerative Disease Management

Generalized Chorea Associated With Subcortical Leukoaraiosis Of Binswanger Type A Case Report Neurodegenerative Disease Management

Binswanger Disease Causes Symptoms Treatment Dr Thind

Binswanger Disease Causes Symptoms Treatment Dr Thind

Cerebral Small Vessel Disease From Pathogenesis And Clinical Characteristics To Therapeutic Challenges The Lancet Neurology

Cerebral Small Vessel Disease From Pathogenesis And Clinical Characteristics To Therapeutic Challenges The Lancet Neurology

Binswanger Encephalopathy An Overview Sciencedirect Topics

Binswanger Encephalopathy An Overview Sciencedirect Topics

Vascular Dementia Chapter 30 The Behavioral And Cognitive Neurology Of Stroke

Vascular Dementia Chapter 30 The Behavioral And Cognitive Neurology Of Stroke

Stroke In The Young Chair Prof Dr B

Stroke In The Young Chair Prof Dr B

Https Encrypted Tbn0 Gstatic Com Images Q Tbn And9gct5barmuuapydpeanel4ny1gcdousyckek4gkmu9wq Usqp Cau

Https Encrypted Tbn0 Gstatic Com Images Q Tbn And9gct5barmuuapydpeanel4ny1gcdousyckek4gkmu9wq Usqp Cau

Treatment and Prognosis The successful management of hypertension and diabetes can apparently slow progression of the atherosclerotic and arteriolosclerotic vasculopathy and avoidance of processes associated with vascular damage eg cigarette smoking is recommended.

Binswanger disease is a sporadic disorder with no currently known hereditary predispositions. Binswangers disease BD also called subcortical vascular dementia is a type of dementia caused by widespread microscopic areas of damage to the deep layers of white matter in the brain. Polycystic kidney disease is when the kidneys see cysts forming on them. Certain rare hereditary diseases such as cerebral autosomal dominant arteriopathy with subcortical infarcts and leukoencephalopathy CADASIL may also lead to Binswangers disease. Illness or sickness in general. Of course the kidneys are necessary for getting rid of toxins from the body. A genetically transmitted form of the disease is known as familial arteriopathic leukoencephalopathy or CADASIL cerebral autosomal dominant arteriopathy with. Although Binswangers disease is not considered an inherited condition genetics may play a role in many of the conditions and risk factors that are associated with the. This is one of the rarer hereditary diseases but that doesnt make it unimportant.


It is also called subcortical vascular dementia which damages the deep layers of the brains white matter. Polycystic kidney disease is when the kidneys see cysts forming on them. Binswangers disease is not a specific disease. Although Binswangers disease is not considered an inherited condition genetics may play a role in many of the conditions and risk factors that are associated with the. Subcortical arteriosclerotic encephalopathy SAE also known as Binswanger disease or small vessel dementia refers to slowly progressive exclusively white-matter multi-infarct dementia. CADASIL cerebral autosomal dominant arteriopathy with subcortical infarcts and leukoencephalopathy is a hereditary small artery disease which is phenotypically similar to Binswangers disease BD a nonhereditary form of small artery disease. Binswanger disease is not a hereditary disease.

Posting Komentar untuk "Is Binswanger Disease Hereditary"